Traitement de l’arthrose du genou
Chirurgien orthopédiste spécialiste des membres inférieurs à Cannes
L’arthrose du genou
Docteur Tsiry Andriamananaivo à Cannes
L’arthrose du genou, ou gonarthrose, est une maladie articulaire chronique qui touche une grande partie de la population, en particulier les personnes âgées. Elle résulte de l’usure progressive du cartilage qui recouvre les surfaces articulaires du fémur, du tibia et parfois de la rotule. Cette affection est une cause fréquente de douleur et de limitation fonctionnelle. Dans cet article, nous vous expliquons la pathologie, les signes cliniques et les examens nécessaires pour poser un diagnostic précis.
Qu’est-ce que l’arthrose du genou ?
L’arthrose est une maladie dégénérative qui affecte le cartilage articulaire. Ce dernier agit comme un amortisseur en facilitant le glissement entre les os. Avec le temps, des facteurs mécaniques et biologiques entraînent son amincissement, voire sa disparition, provoquant un contact direct entre les os. Cela s’accompagne souvent de modifications des structures avoisinantes, notamment des os sous-chondraux, des ligaments, des muscles et de la membrane synoviale.
La gonarthrose peut être classée en deux types :
- Arthrose primaire : Elle apparaît sans cause évidente et est souvent liée au vieillissement.
- Arthrose secondaire : Elle survient après un traumatisme, une malformation articulaire, une maladie inflammatoire ou une surcharge pondérale.
Facteurs de risque de l’arthrose du genou
Chirurgie du genou à Cannes
Plusieurs facteurs peuvent favoriser l’apparition de la gonarthrose :
Âge :
Le risque augmente avec l’âge en raison de l’usure progressive des articulations.Surpoids :
L’excès de poids exerce une pression accrue sur le genou, accélérant la dégradation du cartilage.Antécédents traumatiques :
Des blessures comme des fractures ou des entorses sévères peuvent endommager le cartilage.Activités répétitives :
Les métiers ou sports sollicitant intensément le genou augmentent le risque d’arthrose.Hérédité :
Une prédisposition génétique peut jouer un rôle.Anomalies de l’alignement :
Les déformations comme le genu varum (jambes arquées) ou le genu valgum (jambes en X) modifient la répartition des charges sur le genou.
Signes cliniques de l’arthrose du genou
Dr Andriamananaivo spécialiste du genou
L’arthrose du genou se manifeste progressivement par plusieurs symptômes, dont l’intensité varie en fonction de la gravité de la maladie :
Douleur :
- Initialement mécanique, la douleur apparaît lors des activités physiques (marche, montée ou descente d’escaliers).
- Elle peut devenir permanente dans les formes avancées.
Raideur articulaire :
Elle est souvent présente le matin ou après une période de repos prolongé et s’améliore avec le mouvement.
Déformation du genou :
Les formes avancées peuvent entraîner des déformations visibles, telles qu’un genu varum ou un genu valgum.
Craquements :
Lors des mouvements, des frottements ou des craquements peuvent être ressentis.
Limitation fonctionnelle :
La diminution de l’amplitude articulaire rend certaines activités quotidiennes difficiles, comme s’asseoir ou se relever.
Épanchement articulaire :
Dans certains cas, un gonflement peut apparaître en raison de l’inflammation ou de la production excessive de liquide synovial.
L’arthrose du genou
Chirurgie orthopédique des membres inférieurs à Cannes
Examens complémentaires pour le diagnostic
Le diagnostic d’arthrose du genou repose sur une combinaison d’éléments cliniques et d’examens d’imagerie médicale. Ces derniers permettent d’évaluer l’étendue des lésions et d’exclure d’autres pathologies.
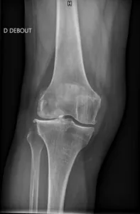
Radiographies standard :
- Les radiographies en charge sont l’examen de base pour diagnostiquer la gonarthrose.
- Elles mettent en évidence un pincement de l’interligne articulaire, des ostéophytes (excroissances osseuses), une sclérose de l’os sous-chondral et parfois des géodes (petites cavités osseuses remplies de liquide).

IRM (imagerie par résonance magnétique) :
Utilisée dans les cas complexes, elle permet une visualisation détaillée du cartilage, des ligaments, des tendons et des tissus mous environnants.
Échographie :
Utile pour détecter un épanchement articulaire ou une inflammation des structures péri-articulaires.
Prise en charge de l’arthrose du genou
Le traitement de la gonarthrose vise à soulager les symptômes, améliorer la mobilité et ralentir la progression de la maladie. Il comprend :
- Mesures non pharmacologiques : Rééducation, perte de poids, port d’orthèses ou d’attelles.
- Médicaments : Analgésiques, anti-inflammatoires non stéroïdiens (AINS), infiltrations intra-articulaires.
- Traitements chirurgicaux : Lorsque la maladie est avancée, une ostéotomie (correction des axes) ou une prothèse totale du genou peut être envisagée.
Conclusion
En conclusion, l’arthrose du genou est une maladie fréquente mais qui peut être efficacement gérée grâce à un diagnostic précoce et une prise en charge adaptée. Si vous ressentez des douleurs persistantes au genou ou une gêne fonctionnelle, n’hésitez pas à consulter le Dr Tsiry ANDRIAMANANAIVO, dans le cadre de sa filière SOS GENOU 06.